
Especialistas en Rehabilitación Completa en Móstoles.
Estudio Personalizado y Plan de Tratamiento a Medida para tu Caso.
✔ Primera valoración informativa
✔ Sin compromiso
✔ Te llamamos en menos de 24h

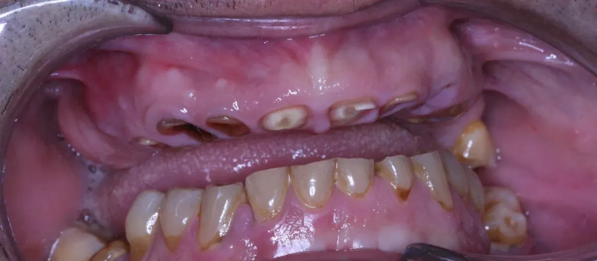
Has perdido varias piezas dentales
No puedes masticar con normalidad
Llevas prótesis removibles incómodas
Te han dicho que tu caso es complicado
Evitas sonreír en público
Sientes inseguridad al comer o hablar
La rehabilitación completa con implantes puede devolverte estabilidad, seguridad y la tranquilidad de volver a sonreír sin miedo, incluso en casos que parecen complejos.

✔ Estudio completo del caso
✔ TAC 3D si lo utilizan
✔ Análisis óseo y funcional
Realizamos un estudio detallado de tu caso mediante diagnóstico avanzado para diseñar un plan totalmente personalizado.

Cada paciente es diferente. Por eso desarrollamos un plan de tratamiento adaptado a tu situación clínica y expectativas estéticas.

Estamos especializados en casos que requieren una rehabilitación completa, incluso cuando otros profesionales han indicado que la solución es complicada.
Conoce cómo Abordamos cada Caso de Forma Personalizada




Formación, experiencia y enfoque personalizado en cada caso.
Más de X años de experiencia en implantología avanzada.
Formación específica en rehabilitación de casos complejos.

Dr. Fernando Barrionuevo
Especialista en rehabilitación completa con implantes.

Aviso Legal | Política de Privacidad | Política de Cookies
© 2025 Clínica BR Dental. Todos los derechos reservados.
Esta web tiene carácter informativo y no sustituye la valoración profesional personalizada. Para un diagnóstico adecuado es necesaria consulta clínica.